25 years of transforming smiles in Melbourne

Why choose L&L Orthodontics in Melbourne?

Our team, Dr Igor Lavrin, Dr Sarah Lawrence, Dr Sarah Louise Roath and Dr Laura Chen are highly experienced Melbourne orthodontists with over 50 years of experience between them.

Our patients are our priority

Our patients are our priority

Our team are always on hand to help, we are committed to offering personalised and high-quality care

Technology-led

Technology-led

We adopt the latest technology such as LightForce™ 3D Braces, iTero Scanners and Dental Monitoring for optimal results

Flexible payment plans

Flexible payment plans

Our interest-free payment plans help you manage the cost of your treatment and make it as affordable as possible

Treatment for all ages

Treatment for all ages

We offer a range of options for children, teens, and adults and have created over 10,000 smiles across Melbourne

Our treatments:

LightForce 3D braces

LightForce™ 3D braces

The world's first 3D printed bracket system.

Learn More
Spark Clear Aligners

Spark Clear Aligners

Virtually invisible clear aligners

Learn More
Invisalign First

Invisalign® First

Designed for small smiles, ages 7-10 years

Learn More
Weekly scans with your smartphone to stay connected

Weekly scans with your smartphone to stay connected

With our remote monitoring app, you can skip the trip to our Melbourne practices and enjoy expert orthodontic care - wherever you are.

Learn More
Weekly scans with your smartphone to stay connected
Affordable Teeth Straightening Treatments

Costs

Affordable Teeth Straightening Treatments

At L&L Orthodontics, we believe your dream smile should be within reach. That’s why we offer flexible, interest-free payment plans designed to suit a variety of budgets - with no hidden fees.

  • Interest-free payment options
  • Get started with a deposit
  • Initial consultation just $120
  • No hidden fees
Learn More

Meet Our Doctors

Meet the specialists behind 10,000+ confident smiles in Melbourne

At L&L Orthodontics, Dr Lavrin, Dr Lawrence and our team combine specialist expertise with the latest technology to deliver personalised care and lasting results.

Meet our Orthodontists
Meet the specialists behind 10000 confident smiles in Melbourne

BEFORE & AFTERS

Discover real smile results

Explore the incredible smile transformations L&L Orthodontics has created for patients across Melbourne and beyond.

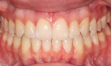
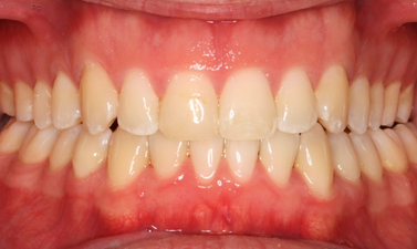
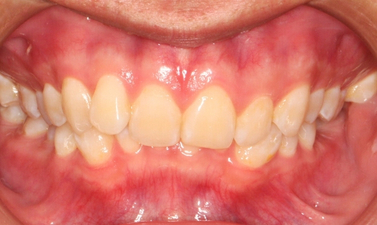
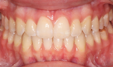
Patient Before Patient After
Before & Afters
Before & Afters
Treatment

Clear Aligners

DR

Dr Sarah Lawrence

DURATION

18 Months

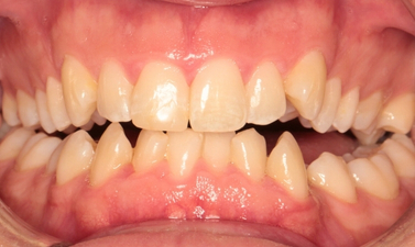
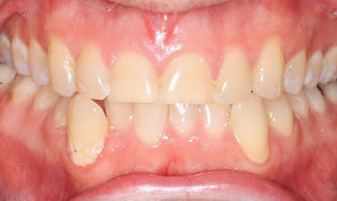
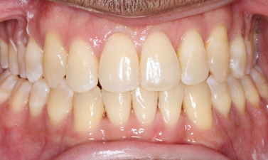
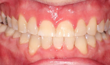
Patient Before Patient After
Before & Afters
Before & Afters
Treatment

Phase 1 - Upper Jaw Expander

DR

Dr Sarah Lawrence

DURATION

8 Months

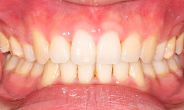
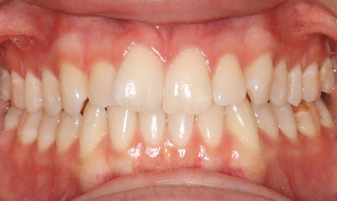
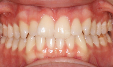
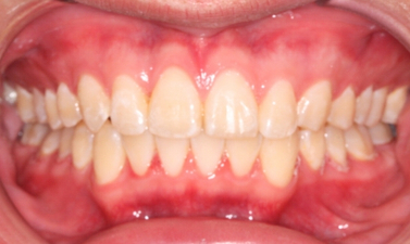
Patient Before Patient After
Before & Afters
Before & Afters
Treatment

LightForce™ 3D Braces

DR

Dr Igor Lavrin

DURATION

15 Months

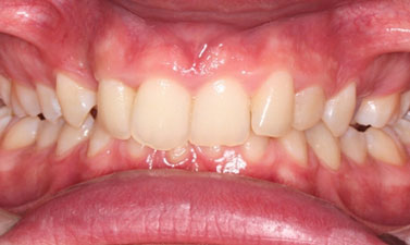
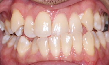
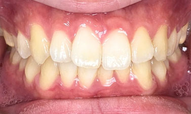
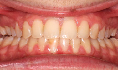
Patient Before Patient After
Before & Afters
Before & Afters
Treatment

LightForce™ 3D Braces

DR

Dr Sarah Lawrence

DURATION

15 Months

Patient Before Patient After
Before & Afters
Before & Afters
Treatment

Clear Aligners

DR

Dr Sarah Lawrence

DURATION

28 Months

Patient Before Patient After
Before & Afters
Before & Afters
Treatment

LightForce™ 3D Braces

DR

Dr Igor Lavrin

DURATION

16 Months

Patient Before Patient After
Before & Afters
Before & Afters
Treatment

Clear Aligners

DR

Dr Igor Lavrin

DURATION

17 Months

Patient Before Patient After
Before & Afters
Before & Afters
Treatment

LightForce™ 3D Braces

DR

Dr Sarah Lawrence

DURATION

14 Months

Patient Before Patient After
Before & Afters
Before & Afters
Treatment

Braces

DR

Dr Sarah Lawrence

DURATION

24 Months

Patient Before Patient After
Before & Afters
Before & Afters
Treatment

Phase 1 - Expander and Headgear

DR

Dr Sarah Lawrence

DURATION

21 months

Patient Before Patient After
Before & Afters
Before & Afters
Treatment

LightForce™ 3D Braces

DR

Dr Sarah Lawrence

DURATION

12 months

Patient Before Patient After
Before & Afters
Before & Afters
Treatment

Clear Aligners

DR

Dr Igor Lavrin

DURATION

16 months

Patient Before Patient After
Before & Afters
Before & Afters
Treatment

LightForce™ 3D Braces

DR

Dr Igor Lavrin

DURATION

12 months

Patient Before Patient After
Before & Afters
Before & Afters
Treatment

Braces

DR

Dr Sarah Lawrence

DURATION

24 months

Patient Before Patient After
Before & Afters
Before & Afters
Treatment

LightForce™ 3D Braces

DR

Dr Sarah Louise Roath

DURATION

22 months

Patient Before Patient After
Before & Afters
Before & Afters
Treatment

Clear Aligners & Jaw Surgery

DR

Dr Louise Hagan

DURATION

14 months

Patient Before Patient After
Before & Afters
Before & Afters
Treatment

Clear Aligners

DR

Dr Louise Hagan

DURATION

16 Months

Patient Before Patient After
Before & Afters
Before & Afters
Treatment

Braces

DR

Dr Sarah Louise Roath

DURATION

22 months

Patient Before Patient After
Before & Afters
Before & Afters
Treatment

Braces

DR

Dr Igor Lavrin

DURATION

24 months

Patient Before Patient After
Before & Afters
Before & Afters
Treatment

LightForce™ 3D Braces

DR

Dr Sarah Louise Roath

DURATION

19 Months

Patient Before Patient After
Before & Afters
Before & Afters
Treatment

LightForce™ 3D Braces

DR

Dr Sarah Lawrence

DURATION

22 months

Patient Before Patient After
Before & Afters
Before & Afters
Treatment

Invisalign First

DR

Dr Sarah Louise Roath

DURATION

16 Months

Patient Before Patient After
Before & Afters
Before & Afters
Treatment

Increased Overjet and Overbite Metal Braces

DR

Dr Sarah Louise Roath

DURATION

24 months

Patient Before Patient After
Before & Afters
Before & Afters
Treatment

LightForce™ 3D Braces

DR

Dr Igor Lavrin

DURATION

23 Months

Patient Before Patient After
Before & Afters
Before & Afters
Treatment

Metal Braces and Extraction

DR

Dr Sarah Louise Roath

DURATION

37 Months

Patient Before Patient After
Before & Afters
Before & Afters
Treatment

Metal Braces

DR

Dr Sarah Louise Roath

DURATION

37 Months

Patient Before Patient After
Before & Afters
Before & Afters
Treatment

Metal Braces and Lower Incisor Extraction

DR

Dr Louise Hagan

DURATION

18 Months

Patient Before Patient After
Before & Afters
Before & Afters
Treatment

Clear Aligners

DR

Dr Igor Lavrin

DURATION

13 Months

Patient Before Patient After
Before & Afters
Before & Afters
Treatment

Clear Aligners and Lower Incisor Extraction

DR

Dr Sarah Louise Roath

DURATION

26 Months

Patient Before Patient After
Before & Afters
Before & Afters
Treatment

Clear Aligners with Elastics

DR

Dr Igor Lavrin

Patient Before Patient After
Before & Afters
Before & Afters
Treatment

Upper Ceramic, Lower Metal Braces and Elastics

DR

Dr Igor Lavrin

BOOK A CONSULTATION

Begin Your Journey to a Confident Smile

Take the first step towards the smile you’ve always wanted - with expert orthodontic care in Melbourne tailored just for you.

Book a consultation

Begin Your Journey to a Confident Smile